
こんばんは、オダシ(@OdaCM_T)です。
私は、養成課程在籍時に 細胞検査士認定試験を、一回でパスしました。
その後、大学院に進学し、 後輩たちの研究や学習のバックアップを行っています。
また、大学病院病理部で勤務した後、大学教員へ転職しています。
ゼミの学生から、こんな質問がありました。
というものです。
今回は「砂粒小体の出現」が特徴的な腫瘍についてまとめていきます。
目次
そもそも砂粒小体(石灰化小体)とは?

そもそも砂粒小体(石灰化小体)とは、
ヘマトキシリンないしエオジン好性の同心円の層状構造ないし無構造の物質で、カルシウム沈着によってできた石灰化物質である。
とされています。(細胞診用語解説集より引用)
しかしながら、好塩基性の染色性(ヘマトキシリンに染まる)と
記載している参考書が多いです。
この辺の知識が問われたときには他の選択肢も確認しましょう。
砂粒小体の染色性や出現しやすい疾患は、
細胞検査士認定試験では度々問われるので知っておきましょう。
参考書によっては石灰化小体と同じニュアンスで使用されます。
砂粒小体(石灰化小体)がみられる腫瘍
砂粒小体が出現する腫瘍として、
細胞検査士認定試験でおさえておきたいものは3つです。
- 脳の髄膜種
- 甲状腺の乳頭癌
- 卵巣の漿液性癌
これらは頻出の選択肢です。
続けて、それぞれの細胞像をまとめておきます。
亜型もありますので、あくまで典型例としてご理解ください。
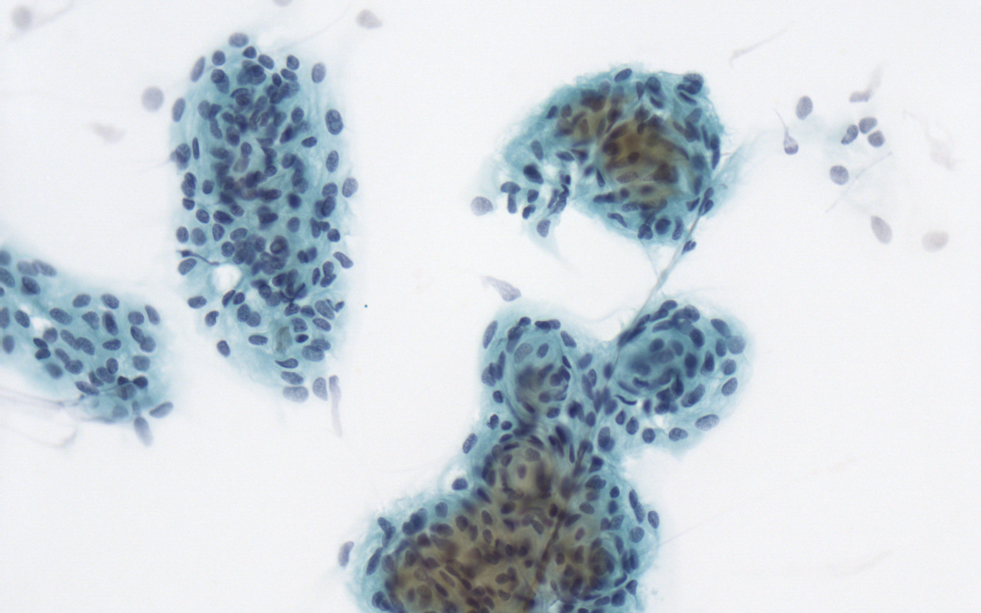
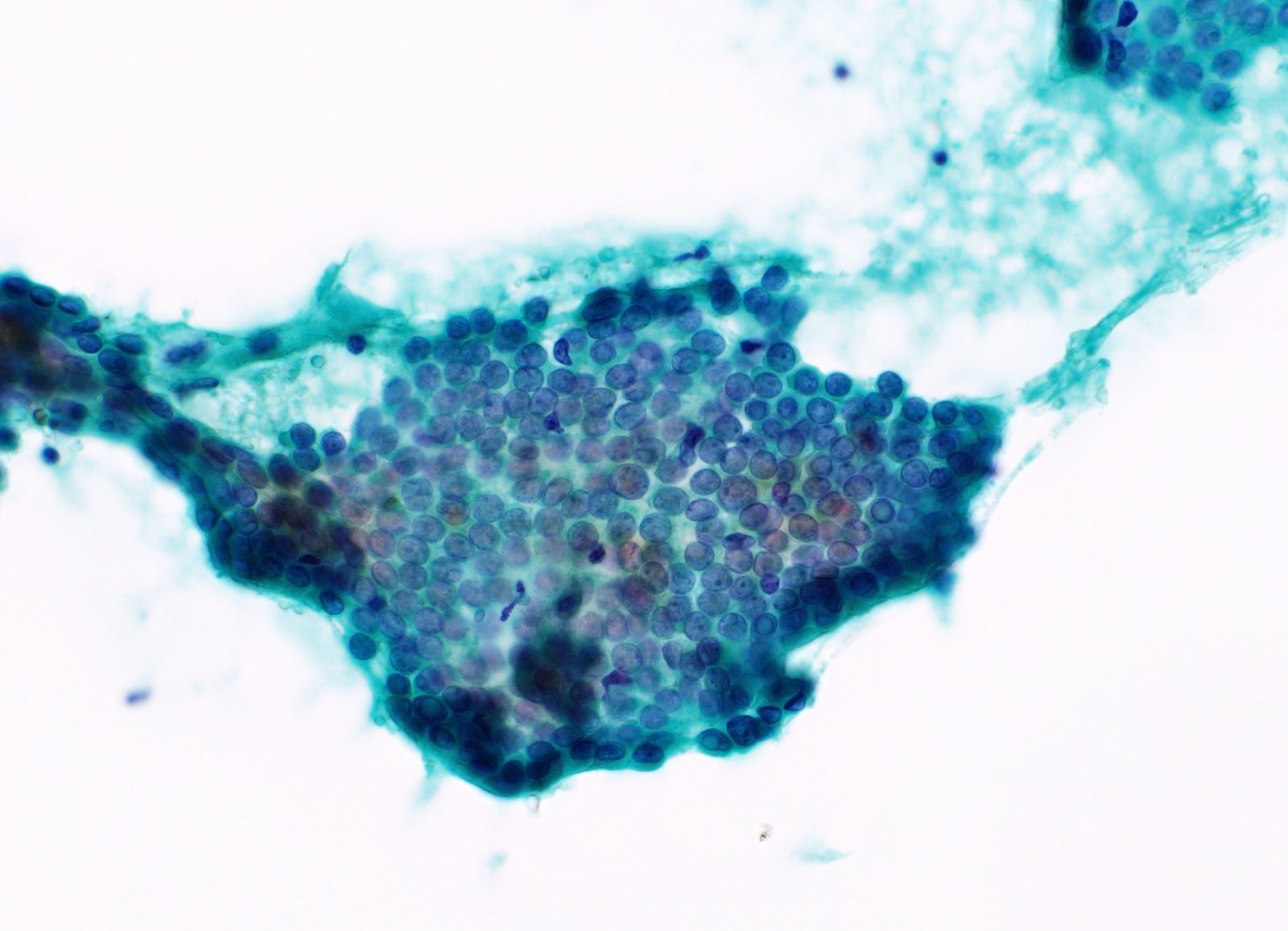
(注意:示す画像においては卵巣漿液性癌のみで砂粒小体がみられます。)
髄膜腫

【細胞像】
- 背景に砂粒小体を認めることもある
- 結合性を有する渦巻状構造をもつ集塊として出現する
- 腫瘍細胞は髄膜皮細胞に類似し、やや多辺形を示す。
- 核は中心性で核内偽封入体や核溝がみられることもあり、核縁は明瞭である。
- 核クロマチンは微細顆粒状で均等分布する。
甲状腺乳頭癌

【細胞像】
- 背景に、砂粒小体や組織球、リンパ球などを伴うこともある。
- 線維性間質結合織を伴った乳頭状ないし樹状集塊が出現する。
- 腫瘍細胞はライトグリーン好性で、扁平上皮細胞や好酸性細胞に類似する場合もある。
- 核は腫大し、核形不整(核溝)や核内細胞質封入体がみられる。
- 核クロマチンは微細顆粒状(すりガラス状)で、比較的均一に分布する。
- 小さめの核小体が観察されることもある。
卵巣漿液性癌

【細胞像】
- 球状ないし乳頭状集塊が出現し、集塊内に砂粒小体を認めることもある。
- 腫瘍細胞は多彩性を欠き均一であり、ライトグリーンに淡く染まる。
- 核は類円形を示すが異型が強い、核縁は肥厚する。
- 核クロマチンは微細顆粒状に分布する。
- 1~数個の核小体を認める。
参考情報・注意点

通常業務においての注意点になりますが、
上記以外の疾患や正常組織においても砂粒小体はみられることがあります。
特に発育が緩徐な腫瘍では時折みられるので、
砂粒小体の所見のみに依存するのは危険です。
砂粒小体は疾患に特異的な所見ではないので、
「ひとつの補助所見だなぁ」くらいに認識しておくと良いです。
例を挙げるとすれば、類内膜癌などの乳頭状発育を示す腫瘍で観察されることがあります。
正常組織においては松果体などで観察されることがあります。
また、国家試験や二級臨床検査士(病理)に対しての知識になりますが、
砂粒小体(石灰化小体)の証明には、コッサ反応やダールのカルシウム染色が用いられます。
マイナーな特殊染色に位置づけられますが、しっかり覚えておきましょう。
まとめ:砂粒小体(石灰化小体)がみられる腫瘍

細胞検査士認定試験対策でおさえておきたい砂粒小体がみられる腫瘍は、
- 脳の髄膜腫
- 甲状腺の乳頭癌
- 卵巣の漿液性癌
の3つです。
数は少ないのでさらりと覚えてしまいましょう。
皆さんが細胞検査士認定試験を突破することを祈っています。
質問などがあればこちらから投げていただければ随時回答していく予定です。